Литмир - Электронная Библиотека
Содержание  
A
A

Морфологически стебель — это осевой орган неограниченного роста, нарастающий верхушкой. В ботанике стебель совместно с листьями и почками называется побег. Применительно к кактусам стебель может называться «mew», в соответствии с латинским corpus.

Стебли делятся на основные или центральные и боковые, вырастающие из почек, скрытых в пазухах листьев. По месторасположению эти почки называются пазушными или боковыми. У кактусов пазушные почки представлены ареолами. Как и из пазушных почек, из ареол могут вырастать боковые побеги, которые у кактусов традиционно называются детки или членики. Отсюда процесс образования боковых побегов нередко именуют деткованием, а растения, образующие детки —маточниками. Естественно, это не вполне ботанические, но часто употребляемые термины.

Изначально многие виды имеют одиночные стебли, но с возрастом довольно часто на стебле вырастают боковые побеги. Не редки кочко- или дерниноподобные формы, образованные множеством небольших боковых побегов.

Иногда апикальная точка роста стебля делится на 2 и более частей и, таким образом, стебель начинает ветвиться от самой верхушки. У некоторых видов подобное деление закреплено в генах и является отличительным признаком. При дихотомическом делении стебля апекс делится пополам, затем каждая часть — еще пополам и так далее. В результате формируется дернина, образованная не боковыми побегами, а частями стебля.

Стебель у кактусов многолетний, и только у Opuntia chaffeyi он отмирает при неблагоприятных условиях.

Лишившись листьев, кактусы были вынуждены изменить форму стебля. И если побеги перескиевых кактусов еще похожи на стебли древесного растения, то у опунциевых и цереусовых кактусов они во многом отличаются. Стебель стал функционировать, во-первых, как орган органического питания и дыхания растения и, во-вторых, как место накопления запаса питательных веществ и, главным образом, воды. Количество ее в стебле кактуса достигает 96% [Вемер] и даже в засушливые периоды не снижается менее 60 — 70%. Поэтому кактусы для животных аридных зон являются резервуарами воды.

По строению стебель двудольных древесных растений значительно отличается от стебля двудольных трав. Стебель кактусов занимает как бы промежуточное положение. Эти растения сочетают в себе крепость, упругость деревьев и мягкость, пластичность трав.

Культура кактусов - _10.jpg

Рис.12. Схема строения стебля кактуса:

Ц — центральный цилиндр;

Ф — флоэма;

К — камбий;

Кс — ксилема;

С — сердцевина.

ЗТ — запасающая ткань;

 Э — эпидермис (кожица);

Культура кактусов - _11.jpg

Культура кактусов - _12.jpg

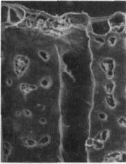
эпидермис флоэма сердцевина ксилема Фото 23. Продольный срез части стебля Eriocereus   jusbertii

Фото 22. Продольный срез побега Pe[i]reskiopsis porteri  

Культура кактусов - _13.jpg
Фото 24. Поперечный срез стебля Discocactus spinosior.

Культура кактусов - _14.jpg

               эпидермис, покрытый кутикулой

Фото 25. Поперечный срез стебля Eriocereus jusbertii.

На поперечном срезе стебля кактуса видно расположенное в центре, состоящее из проводящих пучков кольцо, которое называют камбиальным. У безлистных кактусов диаметр этого кольца во много раз меньше внешнего диаметра стебля.

Камбиальное кольцо неоднородно. При увеличении четко выделяются три основных слоя. Средний слой (собственно камбий) состоит из почти одинаковых, постоянно делящихся клеток. Эти клетки растут, развиваются и формируют ткань ксилемы, ближе к центру, и флоэмы—к периферии. С возрастом клетки ксилемы и флоэмы грубеют, их стенки становятся прочнее. Поэтому при укоренении или прививке кактусов следует помнить, что успешнее эти операции проходят на срезе с «молодым» камбиальным кольцом, т.е. на неодревесневшей зеленой части стебля.

В стебле происходит постоянное перемещение веществ: органических, преимущественно, вниз и минеральных — вверх. Такое движение веществ в растении идет по различным тканям: по ксилеме — восходящий ток и по флоэме—нисходящий.

Древесина кактуса легкая, но прочная, ажурного строения. Хотя она и не имеет хозяйственного значения, но иногда используется для изготовления различных поделок и сувениров. Зачастую древесный скелет столбовидного кактуса в виде вертикальных прутьев долго остается напоминанием о погибшем растении.

В центре камбиального кольца расположены клетки сердцевины, а пространство от камбиального кольца до внешних покровов — эпидермиса занято паренхимной запасающей тканью, представляющей собой разросшиеся клетки первичной коры (т.е. той тоненькой кожицы, которая покрывает зародыш семени). Цитоплазма клеток этой ткани студенистая, в виде густого коллоида, что способствует быстрому всасыванию воды, особенно конденсированной (росы), удержанию ее в клетке. Густая цитоплазма обеспечивает сильный ток воды и минеральных веществ от корня в стебель.

В клетках запасающей ткани происходит синтез органических веществ, некоторые из них могут оказывать воздействие на организм человека: широко известно использование кактусов из рода Lophophora в лечебных или культовых целях.

От центрального цилиндра к ареолам отходят проводящие пучки. Проводящих пучков в стебле мало, они простые, с преобладанием флоэмы, поэтому движение питательных веществ и воды в толще стебля чаще происходит путем осмоса, т.е. пассировки их от клетки к клетке.

Культура кактусов - _15.jpg
Mammillaria dioica

Культура кактусов - _16.jpg

Ferocactus townsendianus

Культура кактусов - _17.jpg

Opuntia pilifera

Культура кактусов - _18.jpg

Maihuenia patagonica при

Увеличении

 в 250 раз

Культура кактусов - _19.jpg

Ferocactus townsendianus при увеличении в 620 раз

Фото 26 - 30. Древесина кактусов (по A.Gibson и P.Nobel).

Культура кактусов - _20.jpg

Werckleocereus tonduzii толщина эпидермиса и кутикулы 0,12мм

Культура кактусов - _21.jpg

Pachycereus pringlei 0,25 мм

Культура кактусов - _22.jpg

Stenocereus gummosus

0,25 мм

Фото 31 - 33. Микрофотографии эпидермиса и кутикулы кактусов

(по A.Gibson и P.Nobel).

Культура кактусов - _23.jpg

Фото 34. Участок стебля Obregonia denegrii    (по E.Anderson).

У поверхности почвы покровные ткани могут иметь пробкоподобную структуру, большая же часть стебля покрыта тонкой эластичной «кожицей», имеющей способность очень сильно растягиваться. Клетки эпидермиса имеют зеленый цвет, т.к. в них находятся хлоропласты, содержащие зеленый пигмент хлорофилл, однако у горных растений они чаще бурой, красноватой, фиолетовой или белесой окраски из-за преобладания пигментов каротина, ксантофилла и некоторых других, а бесхлорофильные формы отличаются красной, оранжевой, желтой или лиловой окраской стебля.

3
{"b":"928490","o":1}