Литмир - Электронная Библиотека
Содержание  
A
A

Клетки в составе КВИ могут подвергаться некротическим и некробиотическим изменениям. Подобное повреждение клеток сопровождается появлением эндогенных сигналов опасности, называемых аларминами, или DAMPs, активирующих фолликулярные дендритные клетки (фДК) и плазмацитоидные дендритные клетки (пДК). DAMP способны взаимодействовать с рецепторами врождённого иммунитета (TLR-2, – 4, – 7, – 9) на ДК и активировать их. Роль ДК в активации адаптивного иммунитета, ведущего к выработке ауто-АТ, хорошо известна. В эктопических зародышевых центрах при ИВРЗ DAMP – активированные ДК, секретируя провоспалительный цитокиновый каскад, прежде всего IFN I типа, индуцируют процессы продуктивного воспаления, в т. ч. и иммунный ответ на ауто-АТ. Указанные явления определены при РА, при СКВ и при синдроме Шегрена в слюнных железах [125].

К числу наиболее актуальных эндогенных молекул-аларминов, имеющих несомненное патогенетическое значение при ИВРС, относится высокомобильный групповой белок 1, обозначаемый как HMGB1. HMGB1 является негистоновым ядерным белком, освобождающемся из клеток, подвергшихся инфекционному повреждению, некрозу, некробиозу, клеточному стрессу. Взаимодействуя с рецепторами врождённого иммунитета (TLR-2, – 4, – 7, – 9), экспрессирующихся на ДК и Мф, HMGB1 способствует продукции IFN-α, IL-1β, TNF-α плазмацитоидными ДК и Мф, тем самым способствуя прогрессированию продуктивного воспаления in situ и усилению АГ-презентирующей функции ДК и Мф. Кроме этого, имеются данные о том, что HMGB1 способен индуцировать анти-HMGB1-антитела, которые относят к общему классу анти-ядерных ауто-АТ при ревматических заболеваниях [120, 167].

Немаловажным свойством HMGB1 является также способность этого белка активировать тканевые металлопротеиназы (ММР1–9) и тканевой плазминоген, активность которых вносит существенный вклад в дезорганизацию рыхлой волокнистой соединительной ткани. Напомним, что к классу ММР принадлежат ферменты коллагеназы и эластазы. Указанные процессы документированы при СКВ [23], при РА [158], при синдроме Шегрена [51], при полимиозите [162].

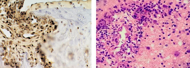
На рис. 3 представлено фото экспрессии HMGB1 при коллаген-индуцированном артрите. Видно, что иммуногистохимически позитивная реакция на HMGB1 определяется на большинстве клеток в составе КВИ.

Клеточные и молекулярные механизмы патогенеза иммуновоспалительных ревматических заболеваний - i_007.jpg

Рис. 3. Экспрессия HMGB1 при коллаген-индуцированном артрите, слева (Х100), по материалам [120]. Продуктивный васкулит, периваскулярная инфильтрация мононуклеарами, справа (Х100), по материалам [5]

При интерпретации патогенетической значимости КВИ при ревматических заболеваниях в настоящее время внимание уделяется новому феномену, называемому “внеклеточными ловушками”. Первоначально этот феномен был отнесён к сфере антиинфекционного иммунитета, впоследствии появились данные, не всегда однозначные, об участии “внеклеточных ловушек” в аутоиммунных процессах, в т. ч. и при ревматических заболеваниях – СКВ, РА, васкулитах [76, 83]. В случаях, когда этот процесс осуществляется клетками макрофагально-моноцитарного ряда “внеклеточные ловушки”, обозначаются как “метозис”. В случаях, когда этот процесс осуществляется Нф, он обозначается как “нетозис”. Суть этого феномена сводится к уникальной серии внутриклеточных событий, посредством которых ядерное содержимое, включая хроматин, смешивается с клеточными белками и затем вытесняется из клеток с образованием внеклеточных структур, способных “захватить” и убить микроорганизмы [32,50].

Процессы нетозиса и метозиса относят к формам программируемой клеточной гибели. Первые публикации касательно нейтрофильных “внеклеточных ловушек” (NET) появилось в 2004 году и за этим быстро последовало описание этого феномена и в отношении других клеток – макрофагов, моноцитов, эозинофилов, базофилов, тучных клеток. Поскольку процесс метозиса имеет некоторые черты сходства с фагоцитарным актом, то была предложена точка зрения, согласно которой при метозисе могут присутствовать процессы внутриклеточного ограниченного протеолиза, связанные с презентацией АГ детерминант. В пользу подобного взгляда выступают данные, свидетельствующие о цитрулинизации ДНК-связанных белков – гистонов в процессе нетозиса и приобретения ими ауто-АГ свойств, в частности, при РА [79].

При СКВ функцию нетозиса берёт на себя популяция гранулоцитов низкой плотности (LDG), которая отсутствует у здоровых людей. Процесс LDG-нетозиса при СКВ сопровождается появлением ауто-АГ детерминант, способствующих дальнейшему повреждению соединительной ткани, последующей активации пДК и гиперпродукции IFN I типа. Также предполагается, что при СКВ нетозис является неким связывающим звеном между появлением аутоантител при дезорганизации основного вещества соединительной ткани и индукции процесса метозиса, осуществляемыми пДК и выработкой ауто-АТ против ДНК [35, 57].

Клеточные компоненты нетозиса могут активировать В-клетки через BCR-клеточный рецептор и TLR9 рецептор, с последующей продукцией аутоантител против ДНК и кателицидина LL-37 [92]. Показано, что активированные эндотелиоциты также способны прямо стимулировать Нф к нетозису, которые, пребывая в этом состоянии, могут уже сами вызвать повреждение эндотелия [61].

Как видно из представленных результатов исследований, формирование КВИ при ИВРЗ – это многокомпонентный процесс, направление развития которого зависит от степени и характера дезорганизации рыхлой волокнистой соединительной ткани, микроокружения, клеточного состава и функциональной активности КВИ, спектра продукции и рецепции провоспалительных цито- и хемокинов и других растворимых факторов. Организация КВИ подвергается определённым закономерностям и характеризуется формированием морфологических форм, имеющих важное патогенетическое значение при ИВРЗ.

1.2. Эктопические лимфоидные структуры, или эктопический лимфоидный неогенез

Уникальной особенностью исходов КВИ является возможность приобретения клеточным инфильтратом определённых структурированных форм, отражающих в определённой мере нозологическую специфичность ревматических заболеваний и потенциальную возможность индукции аутоиммунного ответа в locus morbi. Одновременно эти процессы сочетаются с разностадийностью хронического воспаления, когда в воспалённой ткани определяются признаки мукоидного набухания и фибриноидных изменений с явлениями склероза и фиброза. Морфологическая трансформация КВИ в структуры, напоминающие вторичные лимфоидные органы (лимфатические узлы, пейеровы бляшки, селезёнка) получила название “эктопические лимфоидные структуры” (ELS) или “эктопический лимфоидный неогенез”. ELS приобретают многие особенности лимфоидных фолликулов вторичных лимфоидных органов, включая компартментализацию зон, богатых Т-клетками и В-клетками, и накопление фолликулярных дендритных клеток (фДК). Наиболее ярко ELS представлены при ревматоидных синовитах в виде фолликулоподобных структур в субсиновиальном слое [9].

На рис. 4 в качестве сравнительной иллюстрации представлены фото герминативного центра в интактной нёбной миндалине слева и герминативный центр фолликулоподобной структуры в синовиальной оболочке при РА справа. Видно, что в общей морфологической организации этих двух структур прослеживается значительная аналогия.

Клеточные и молекулярные механизмы патогенеза иммуновоспалительных ревматических заболеваний - i_008.jpg

Рис. 4. Слева (а) представлен герминативный центр в интактной нёбной миндалине, справа (b) аналогичная структура в синовиальной оболочке при РА (Х 100), по материалам [88]

Клеточное микроокружение в ELS, широкий спектр продуцируемых и рецептируемых клетками воспалительного инфильтрата провоспалительных цито- и хемокинов, создают оптимальные условия для индукции аутоиммунного ответа in situ. CD4+ T-лимфоциты, находящиеся в составе КВИ, являются ключевыми клетками в процессах активации В-лимфоцитов, их дифференцировки в плазматические клетки и продукции последними ауто-АТ. Этот факт отражает известный патоморфологический признак иммуновоспалительных ревматических заболеваний, а именно – плазматизация лимфоидной ткани. В условиях ELS функции Т-хелперных клеток среди всей субпопуляции CD4+клеток берут на себя фолликулярные Т-хелперные клетки (Tfh), несущие фенотип CD4+ CXCR5+ Bcl6+. Tfh-клетки продуцируют важный иммунорегуляторный фактор IL-21 и хемокин CXCL13. IL-21 – это цитокин, который способствует пролиферации В-клеток в зародышевых центрах (GC) и их дифференцировке в плазматические клетки. ИЛ-21 могут продуцировать и активированные макрофаги в условиях ELS [146].

6
{"b":"853232","o":1}