Продукция Tfh-клетками хемокина CXCL13 и его взаимодействие с хемокиновым рецептором CXCR5 на В-лимфоцитах способствует формированию агрегатов В-лимфоцитов, которые являются важной составляющей ELS. Выраженная экспрессия CXCR5 на В-лимфоцитах в составе воспалительного инфильтрата определяется при ревматоидных синовитах. Это взаимодействие стимулирует В-лимфоциты к трансформации в плазматические клетки, продуцирующие ауто-АТ локально, в очаге продуктивного воспаления, в условиях ELS [30].
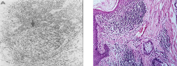
На рис. 5 представлены лимфоплазмоцитарные инфильтраты при ревматоидном синовите, принимающие формы фолликулоподобных структур и иммуногистохимическую идентификацию хемокина CXCL13 в этих структурах в синовиальной оболочке при РА в крайнем справа фото.
Рис. 5. Слева (А, В) видны лимфоплазмоцитарные инфильтраты при ревматоидном синовите, принимающие формы фолликулоподобныхструктур (Х 100), по материалам [160] Крайний справа снимок отражает иммуногистохимическую идентификацию хемокина CXCL13 (указано стрелками) в фолликулоподобной структуре в синовиальной оболочке при РА (Х 100), по материалам [68]
Фолликулоподобные структуры включают в себя макрофаги (CD68+), Т-лимфоциты (CD4+), В-лимфоциты (CD20+), дендритные клетки (CD303+). При РА в них определяются большие клеточные агрегаты, включающие скопления фДК, обладающих высокой АГ-презентирующей способностью [122].
На рис. 6 представлены фото фолликулоподобных структур в синовиальной оболочке при РА. Видно, что эктопические герминативные центры находятся на разных стадиях своего формирования и функционального состояния. Наличие очагов эктопического лимфоидного неогенеза с герминативными центрами позволяют выделить определённые патофизиологические варианты РА [31].
Рис. 6. Видны множественные эктопические герминативные центры (фолликулоподобные структуры) в синовиальной оболочке при РА на разных стадиях своего развития (Х 100), по материалам [78]
Кроме этого, со стадией развития указанных структур (начальные этапы, затем этапы с формированием герминативных центров) хорошо коррелируют с наличием сывороточного ревматоидного фактора (РФ), ревматоидных узелков и, особенно, с тяжестью эрозий суставного хряща. Лимфоидный неогенез при РА определялся в биопсийном материале в 31 % случаев [160]. У пациентов с серопозитивным РА могут организовываться агрегаты Т-клеток в синовиальной ткани. Это часто мелкие или средние агрегаты, хотя у – 10–15 % пациентов развиваются более организованные агрегаты, имеющие черты сходства с герминативными центрами (GC) [100, 121].
Имеются данные, согласно которым значительная роль в эктопическом лимфоидном неогенезе принадлежит цитокинам семейства ТНФ, хемокинам CXCL13 и CCL21, адгезионным молекулам MAdCAM [68].
Как указывалось выше, принципиально единообразные патоморфологические изменения при системной прогрессирующей дезорганизации рыхлой волокнистой соединительной ткани свойственны всем нозологическим формам ИВРС. Это же касается и лимфоидного неогенеза. В качестве иллюстрации сказанного приводим рис. 7, где представлены фолликулоподобная структура в синовиальной оболочке при РА слева и фолликулоподобная структура в дерме и в мышечной ткани при СКВ. Видно, что морфологическая организация этих структур при РА и СКВ имеет черты определённого сходства. Важен тот факт, что процент мононуклеаров и нейтрофилов, подвергшихся апоптозу и находящихся в фолликулоподобных структурах при СКВ статистически значимо превышал аналогичные показатели в контрольной группе и коррелировал со степенью тяжести клинического течения СКВ [24].

Рис. 7. Слева фолликулоподобная структура с центром размножения (стрелка) в синовиальной оболочке при РА (Х 50), по материалам [173]. Справа фолликулоподобные структуры в дерме и в мышечной ткани при системной красной волчанке, Х100, по материалам [24]
Лимфоидный неогенез свойственен и для других иммуновоспалительных заболеваний – тиреоидита Хашимото, миастения гравис, Helicobacter pylori – индуцированного гастрита [68].
На рис. 8 представлена картина фолликулоподобной структуры в щитовидной железе при тиреоидите Хашимото слева и аналогичной структуры при дерматомиозите справа. И в этом случае прослеживается структурная аналогия.
Рис. 8. Слева фолликулоподобная структура в щитовидной железе при тиреоидите Хашимото, по материалам [82]. Справа аналогичная структура при дерматомиозите (Х100), по материалам [5]
Эктопический лимфоидный неогенез документирован при синдроме Шегрена, рис. 9.
Рис. 9. Лимфоплазмоцитарные инфильтраты в слюнной железе при синдроме Шегрена. Видно, что эти инфильтраты принимают формы фолликулоподобных лимфоидных структур (Х100), по материалам [132]
Видно, что лимфоплазмоцитарные инфильтраты в слюнной железе при синдроме Шегрена. принимают формы фолликулоподобных лимфоидных структур. При этом в лимфоплазмоцитарных инфильтратах большинство клеток составляли CD4+αβ Т-лимфоциты и только 5–15 % клеточного инфильтрата относились к В-лимфоцитам, плазматическим клеткам и CD8+лимфоцитам. Также как и при РА, при синдроме Шегрена в КВИ интенсивно эксрессируется хемокин CXCL13, обладающий выраженными свойствами привлекать в очаг провоспалительные клетки. В местах компактного скопления В-лимфоцитов в виде очаговых инфильтратов в слюнных железах при синдроме Шегрена была определена продукция анти-Ro/SSA и анти-La/SSB аутоантител [28, 159].
К числу причин скопления лимфоцитов в очаге воспаления с последующим формированием фолликулоподобных структур при синдроме Щегрена относят и экспрессию аллелей (HLA)-DR, B7.1 и B7.2 на эпителии воспалённых слюнных желёз. В лимфоплазмоцитарных инфильтратах Т- и В-лимфоциты располагались в отдельных зонах, напоминающих Т-зависимые и В-зависимые зоны во вторичных лимфоидных органах. Присутствие в подобных лимфоплазмоцитарных инфильтратах, напоминающих зародышевые центры, признаков АГ-специфической клональной пролиферации В-лимфоцитов и плазматических клеток подтверждает гипотезу эктопического лимфоидного неогенеза и продукции ауто-АТ [149]. Кроме этого, в этих же локусах определялись посткапиллярные венулы, выстланные высоким эндотелием, где происходит миграция КВИ в очаг воспаления. Для этого процесса необходима продукция белков семейства TNF, а также хемокинов CXCL13 и CCL21, привлекающих к очагу воспаления Т- и В-лимфоциты [69].
В целом, важной особенностью формирования ELS является факт присутствия в них плазматических клеток, продуцирующих ауто-АТ. По литературным данным это определено также при рассеянном склерозе, при СКВ, при отторжении трансплантатов почек и сердца.
Взаимодействия Т-клеток с В-клетками в условиях ELS могут воспроизводить многие ключевые особенности продуктивных взаимодействий в лимфоидных фолликулах вторичных лимфоидных органов. Это касается соматических гипермутаций, переключения синтеза классов иммуноглобулинов и дифференцировки плазматических клеток, что наблюдается, например, в воспаленной синовиальной оболочке при РА в фолликулоподобных структурах или в тубулоинтерстициальных клеточных агрегатах в почках при волчаночном нефрите [38,71,136].
Накопление лимфоцитов и плазматических клеток в хронически воспаленных тканях происходит при многих заболеваниях и для обозначения этих явлений некоторые авторы предлагают термин “лимфоплазматический инфильтрат”, который нередко встречается при описаниях патоморфологии биоптатов.