Литмир - Электронная Библиотека
A
A

«Да», – ответила Валери.

«И сможете каждый день смотреть себе в глаза в зеркале, зная, что сами приняли такое решение?»

От бесконечной съедающей их тревоги Валери и Джим лишились сна. Переживет ли Мэтью операцию? Насколько вообще возможно жить при отсутствии половины мозга? И даже если возможно, не обречен ли Мэтью после удаления одного полушария получить инвалидность настолько тяжелую, что жизнь с ней немногим лучше смерти?

Но другого выхода не было. Нормальная жизнь под дамокловым мечом ежедневных множественных эпилептических припадков попросту нереальна. Родители ловили себя на том, что взвешивают, стоит ли неясный исход хирургического вмешательства того ущерба, который болезнь гарантированно нанесет их сыну.

В назначенный день они снова привезли Мэтью в Балтимор. И вот уже под маской детского размера мальчик погружается в анестетический сон. Лезвие скальпеля осторожно делает разрезы на обритой коже головы. Костная дрель высверливает в черепе круглое трепанационное отверстие.

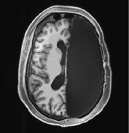
На протяжении нескольких часов хирург кропотливо удалял нежную розоватую мозговую ткань, составлявшую основу интеллекта Мэтью, его эмоций, способности говорить, чувства юмора, страхов и привязанностей. Извлеченная ткань, бесполезная в отрыве от своей биологической среды, отправлялась в маленькие контейнеры. Опустевшая половина черепа Мэтью медленно заполнялась спинномозговой жидкостью, что в ходе нейровизуализации отображалось черным пятном (рис. 1.1)[3].

Живой мозг. Удивительные факты о нейропластичности и возможностях мозга - i_001.jpg

Рис. 1.1. У Мэтью хирургически удалена половина головного мозга

Источник: Kliemann D., et al. (2019). Intrinsic functional connectivity of the brain in adults with a single celebral hemisphere. Cell Reports. 2019 Nov 19; 29 (8): 2398–2407. © 2019, with permission from Elsevier

Позже, уже в послеоперационной палате, родители Мэтью пили больничный кофе стакан за стаканом, ожидая, когда сын проснется после наркоза. Каким он теперь будет, их мальчик? Кем вырастет, имея всего половину мозга?

* * *

Среди всех материальных объектов, обнаруженных представителями нашего вида на планете, ни один и близко не сравнится по сложности с нашим мозгом. Человеческий мозг состоит из 86 млрд клеток, называемых нейронами, которые быстро передают туда-сюда информацию в виде перемещающихся электрических импульсов[4]. Нейроны соединены друг с другом в густые замысловатые сети вроде лесных зарослей, причем общее количество нейронных соединений исчисляется сотнями триллионов (около 0,2 квадриллиона). Все это напоминает электрическую проводку в вашем доме. Чтобы лучше представить себе масштабы собственного мозга, исходите из того, что в одном кубическом миллиметре его кортикальной ткани связей больше, чем ныне живущих на нашей планете людей.

Однако самую интересную особенность мозга составляет не колоссальное количество нейронов, а способ их взаимодействия.

Учебники, реклама в СМИ и масскультура обычно изображают мозг как орган, каждый участок которого отвечает за свой круг задач. Скажем, вот эта область позволяет нам видеть, а вон та полоска нужна, чтобы мы понимали, как пользоваться орудиями и инструментами, вот этот участок активируется, когда мы преодолеваем желание съесть конфетку, а вон то пятнышко оживляется, когда мы обдумываем щекотливый нравственный вопрос. Словом, все области, участки и зоны мозга можно четко обозначить и подразделить на категории.

Однако такая хрестоматийная модель не дает полного представления о мозге человека, ибо упускает самую любопытную его особенность. Мозг представляет собой динамическую систему и непрерывно меняет конфигурацию соединений в соответствии с требованиями внешней среды и возможностями тела. Будь у вас волшебная видеокамера, чтобы взять крупным планом кипящий жизнью микрокосм под сводами вашего черепа, вы увидели бы, как нейроны вытягивают свои отростки-щупальца, которые жадно ищут, за что бы ухватиться, ощущают, соударяются, наталкиваются друг на друга, выискивают подходящие, чтобы сформировать новые связи или, наоборот, избежать их, – так жители какой-нибудь страны завязывают дружбу, заключают браки, поддерживают соседские отношения, создают политические партии, совершают вендетты и объединяются в социальные сообщества. Попробуйте представить свой мозг как место, где обитают, переплетаются и живут своей жизнью триллионы отдельных организмов. Мозг намного удивительнее, чем рисуют нам учебники, поскольку представляет собой загадочную вычислительную субстанцию, живую трехмерную ткань, которая меняется, реагирует и приспосабливается к изменениям, чтобы максимизировать свою продуктивность. Замысловатый рисунок соединений в мозге – нейронные сети – полнится жизнью: связи между нейронами беспрестанно меняются, расцветают, отмирают, изменяют форму. Сегодня вы уже не та личность, какой были год назад, потому что гигантский гобелен вашей мозговой ткани соткался в другой узор.

Когда вы что-то узнаёте, например адрес хорошего ресторана либо новую сплетню о вашем боссе, или слышите по радио новую привязчивую песенку, ваш мозг физически меняется. То же происходит с ним при финансовом успехе, социальном фиаско или эмоциональном возбуждении. Когда вы бросаете в корзину баскетбольный мяч, не соглашаетесь с коллегой, прилетаете в новый город, вглядываетесь в ностальгическую фотографию или слышите ласковые нотки в голосе любимого человека, обширные густо переплетенные джунгли вашего мозга перестраиваются, становясь слегка другими, чем мгновение назад. Эти перемены составляют нашу память – последствия того, как мы жили и любили. Бесчисленные изменения в мозге, накапливающиеся с течением минут, месяцев, а то и десятилетий, в общей сложности и складываются в личность, которая называется вами.

Или по крайней мере в ту личность, коей вы являетесь в данную минуту. Вчера вы были немного не такими, как сегодня. А завтра станете другими, кем раньше не были.

Другой секрет жизни

В один из дней 1953 года Фрэнсис Крик[5] ворвался в паб «Игл-энд-Чайлд» и с места в карьер ошарашил почтенную выпивающую публику, возгласив, что они с Джеймсом Уотсоном[6] разгадали секрет жизни: открыли структуру двойной спирали ДНК. То было одно из величайших открытий в науке, известия о которых когда-либо сотрясали стены пабов.

Позже выяснилось, что Крик и Уотсон разгадали лишь половину секрета. Зато другую половину невозможно найти в зафиксированной последовательности пар оснований ДНК, не описана она и ни в одном учебнике – ни сейчас, ни когда-либо вообще. Потому что вторая половина секрета жизни – это все, что нас окружает, и каждая частичка нашего опыта бытия в мире: текстуры и вкусы, нежности и автомобильные аварии, языки общения и романы[7].

Чтобы лучше понять, о чем я толкую, представьте, что вы родились 30 тысяч лет назад, причем с точно такой же ДНК, – разве что, покинув материнское лоно, увидели мир, каким он был в те далекие исторические времена. Какими бы вы выросли? Находили бы вкус в том, чтобы, облачившись в шкуры, танцевать вокруг костра, дивясь на россыпи звезд в ночном небе? Или, сидя на верхушке дерева, предупреждали бы соплеменников громким выразительным ревом о приближении страшного саблезубого тигра? Тревожила бы вас ночевка под открытым небом, когда его обкладывали густые дождевые тучи?

Что бы вы себе ни представили, все равно ошибетесь. Потому что мой вопрос – с подвохом.

Вы попросту были бы не вами. Даже отдаленно. Пещерный человек с точно такой же ДНК, как ваша, мог бы внешне слегка смахивать на вас в силу того, что развился по той же, что у вас, прописи генома. Но, как этот дикарь ни старайся, он не сумел бы думать, как вы. И уж подавно не мог бы выстраивать стратегии в точности, как это делаете вы, любить, как вы, воспроизводить ваше прошлое или моделировать будущее.

вернуться

3

Как ни странно, но так оно и есть: операцию Мэтью провел хирург Бен Карсон, тот самый, кто в 2016 году решил баллотироваться на пост президента США от Республиканской партии, но позже вышел из гонки, проиграв Дональду Трампу.

вернуться

4

Картина еще сложнее: кроме нейронов, в мозге есть и другие клетки, называемые нейроглией. Помимо прочего, нейроглия очень важна для долговременного функционирования нейронов, поскольку именно они обеспечивают быструю передачу информации. Всегда считалось, что мозг содержит вдесятеро больше глиальных клеток, чем нейронов; но благодаря новейшим методам исследования (например, изотропному фракционированию) мы знаем, что глиальных клеток в мозге ровно столько же, сколько нейронов. См. Von Bartheld CS, Bahney J, Herculano-Houzel S (2016). The search for true numbers of neurons and glial cells in the human brain: A Review of 150 Years of Cell Counting, J Comp Neurol 524 (18): 3865–3895. Общие представления о количествах см. также Gordons. The synaptic organization of the brain (New York: Oxford University Press, 2004).

вернуться

5

Фрэнсис Крик (1916–2004) – британский молекулярный биолог, биофизик и нейробиолог. Лауреат Нобелевской премии. Прим. ред.

вернуться

6

Джеймс Уотсон (р. 1928) – американский биолог. Лауреат Нобелевской премии. Прим. ред.

вернуться

7

Вот только маленькое подмножество совокупности впечатлений, получаемых двухлетним ребенком в течение дня, которые непостижимым образом намечают траекторию его будущего жизненного пути. Малыш слушает рассказ про мальчика с длинным хвостом, которым тот прихлопывает мух (реальная история). В гости заходит подруга матери, Жозетт, и приносит серебристую кастрюлю, где на пару доходят приготовленные ею тефтели. За окном по улице с улюлюканьем проносятся на велосипедах трое мальчишек постарше. Ребенок видит, что белая кошка устроилась поспать на теплом капоте пикапа. Мама говорит папе: «Совсем как тогда, в Нью-Мексико», – и оба смеются. Папа стоит над раковиной в кухне, поедая брюссельскую капусту из пластикового контейнера, и что-то говорит с полным ртом. Мальчик прижимается щекой к прохладным половицам дубового пола. Он видит, как на улице здоровенный дядька в костюме бобра раздает арахисовые орешки. И прочее, и прочее. Каждое из впечатлений добавляет по очередной крупице к его личности, и будь эти впечатления чуть-чуть другими, мальчик вырос бы чуть-чуть другим человеком. Подобные соображения могли бы с полным основанием встревожить родителей, если те считают своим долгом дать ребенку правильное направление в жизни. Впрочем, если учитывать бескрайние просторы океана всевозможных впечатлений, сколько-нибудь сознательная навигация по его акватории не представляется возможной. Вы не можете знать, какой эффект возымеет выбор той или иной книги, принятое решение или внешнее воздействие. Жизненная траектория человека – даже на протяжении одного-единственного дня – слишком сложна и прихотлива, чтобы предсказать, как и что может повлиять на нее. И хотя сказанное нисколько не умаляет значения родительских обязанностей и забот, совершенная невозможность предугадать, каким будет жизненный путь их ребенка, пускай и на малую малость, но все же облегчает им бремя ответственности.

2
{"b":"745874","o":1}