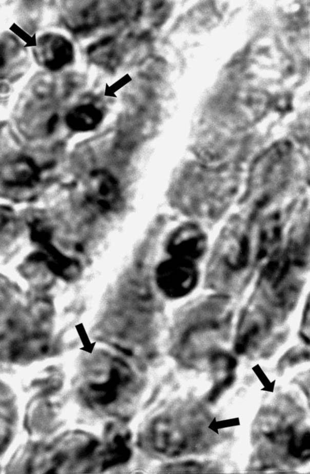
Рисунок 37. Кровяные клетки пресмыкающегося внутри кишки москита Palaeomyia burmitis из бирманского янтаря. Стрелками указаны амастиготы, развивающиеся в вакуолях внутри клеток крови260.
Если находка единственного заражённого переносчика болезни устанавливает факт присутствия болезнетворного микроорганизма в конкретном месте и времени, в одиночку она не может указывать на распространённость инфекции. Именно поэтому нас охватило сильное волнение, когда в бирманском янтаре, полученном в течение нескольких следующих месяцев, мы обнаружили ещё больше заражённых москитов. Фактически, из 21 самки москитов, которые были исследованы, у 10 были обнаружены трипаносоматиды. Это открытие подтверждало наше первоначальное подозрение в том, что 100 млн. лет назад частота встречаемости лейшманиоза рептилий в этой местности была чрезвычайно высокой. Вероятность обнаружения заражённого современного москита в очагах естественного заражения лейшманиями очень невысока. Какой же была частота встречаемости инфекции, если судить по москитам, обнаруженным на данный момент в бирманском янтаре? Невероятно высокой! Возможно, многие или все проживающие в этих местах москиты кормились на заражённых позвоночных, что указывает на эпидемию среди хозяев-позвоночных, в том числе, возможно, среди динозавров.Если можно было обнаружить одного возбудителя болезни, то можно ли найти других? Это разожгло наш интерес, и мы начали исследовать кровососущих мошек в качестве возможных переносчиков возбудителей заболеваний позвоночных животных. Наша настойчивость была вознаграждена, когда мы обнаружили древний малярийный организм в мокреце из бирманского янтаря (цветная вкладка 9A). Внутри полости тела ископаемого двукрылого находились развивающиеся ооцисты (рис. 38) и спорозоиты похожего на Haemoproteus болезнетворного организма, полностью сохранившиеся (рис. 23). И вновь, используя морфологические признаки кровососущих мошек, мы определили, что это насекомое, вероятно, кормилось на крупных позвоночных, а преобладающими крупными позвоночными в то время были динозавры261.Если простейших видно при помощи светового микроскопа, то вирусов – нет. Но мы, возможно, смогли бы найти некоторых вирусов, вызывающих болезни у насекомых, при помощи видимых через световой микроскоп маркеров вроде белковых полиэдрических структур, в которые инкапсулируются вирионы. Они подтвердили бы факт присутствие некоторых групп вирусов. И вновь настойчивость дала свои плоды. В средней кишке мокреца из бирманского янтаря содержалось несколько сотен полиэдров (цветные вкладки 9C, 9D)

Рисунок 38. Развивающиеся ооцисты Paleohaemoproteus burmacis внутри мокреца из бирманского янтаря167.
вируса цитоплазматического полиэдроза172. Как характерно для современных вирусных заболеваний этого типа, полиэдры находились в средней кишке хозяина. Вирусы цитоплазматического полиэдроза – представители семейства вирусов Reoviridae, которое также включает некоторые арбовирусы, являющиеся возбудителями заболеваний позвоночных. Итак, хотя арбовирусов в ископаемых членистоногих не обнаружено, были найдены полиэдры вирусов, паразитирующих на насекомых, которые могли быть предшественниками некоторых типов арбовирусов. В наше время вирусы цитоплазматического полиэдроза инфицируют мокрецов, комаров и москитов, и все они также передают арбовирусов позвоночным. Если судить по различным морфологическим особенностям, заражённый вирусом мокрец из бирманского янтаря, по всей вероятности, кормился на позвоночных животных172.Изучение дополнительных ископаемых образцов из янтаря рассказало нам кое-что о других болезнях насекомых мелового периода. Мы обнаружили предполагаемый вирус ядерного полиэдроза у москита, болезнетворный грибок у щитовки (цветная вкладка 13D), паразитических клещей, прикрепившихся к насекомым (цветные вкладки 13B, 14C) и паразитическую нематоду у мокреца (цветная вкладка 13C)337. Обнаружение ископаемого болезнетворного организма всего лишь говорит нам о том, что он существовал в то или иное время. Насколько долго он существовал до этого времени, можно установить лишь в том случае, когда обнаружатся более древние окаменелости. Логика подсказывает нам, что многие болезни определённо существовали намного раньше, чем появились наши образцы. Но насколько раньше – это ещё предстоит узнать.
21. Болезни и эволюция их возбудителей
Одно из основных предположений этой книги – то, что меловые насекомые служили переносчиками возбудителей заболеваний, которые оказывали прямое или косвенное воздействие на динозавров. Результатом этого были не только заболевания и смертность среди динозавров, но и уничтожение кормовых растений динозавров. Мы полагаем, что многие, если не все современные ассоциации болезнетворных микроорганизмов и их переносчиков уже успели сложиться или возникли в какой-то момент времени в меловой период, даже если в них входили представители иных родов и видов хозяев и переносчиков.Происхождение и коэволюция возбудителей заболеваний, их переносчиков и хозяев, растений или животных, представляют собой сложные процессы. Когда по земле бродили первые динозавры, у них уже были возбудители заболеваний, доставшиеся им от их предков. Хотя в процессе эволюции возникали новые ассоциации патогенных организмов и их переносчиков, основной способ выживания у многих болезнетворных микроорганизмов уже установился.Люди контактируют с микробами с того дня, когда появились на свет. Каждый из нас – это ходячая и дышащая экосистема, несущая тысячи организмов на поверхности и внутри нашего тела. Говорят, что во рту у отдельно взятого человека бактерий больше, чем людей на поверхности земного шара66. И, к сожалению, иногда мы подхватываем болезнетворных микробов.Количество человеческих жизней, потерянных из-за инфекционных заболеваний на протяжении письменно документированной истории, намного превосходит число смертей от голода и войн, вместе взятых. Эпидемии уничтожали армии, истребляли туземные народы, губили на корню дерзания людей и причиняли невыразимые страдания. И если бы не лекарства, инсектициды, прививки и наша способность понимать причины болезней и действовать соответствующим образом, то наши текущие результаты переписи населения были бы значительно ниже. Насколько больше представителей нашего вида умерло бы от малярии и жёлтой лихорадки, если бы мы не расчищали землю, не осушали болота, не использовали тонны пестицидов и не строили жилищ с затянутыми сеткой окнами? И всё же, даже несмотря на всё это, ежегодный уровень смертности от одной только малярии значительно превышает миллион человек. Какую же роль играют болезни в регулировании распределения животных и растений на древних ландшафтах?Заболевания позвоночных обычно делятся на две категории – контагиозные и неконтагиозные. В случае контагиозных болезней их возбудители распространяются от одного индивида к другому путём прямого или косвенного контакта. Прикосновение заражённого индивида, дыхание одним и тем же воздухом, пребывание в контакте с заражёнными отходами жизнедеятельности и тому подобные вещи способствуют распространению инфекционного агента. С другой стороны, неконтагиозные болезни должны передаваться другим организмом, обычно называемым переносчиком, который вводит возбудителя заболевания в хозяина. Простой контакт с больными индивидами не приведёт к заражению. Мы показали, что возбудители заболеваний, распространяемые их переносчиками, существовали в меловой период. Однако свидетельств контагиозных болезней обнаружено не было, хотя в те времена они наверняка существовали. Особо смертоносные представители обоих типов заболеваний рассматривались на предмет использования в качестве биологического оружия262.В целом эпидемии, вызывающие смертность на обширных территориях, возникают двумя способами. Возбудитель заболевания, уже существующий в экосистеме, видоизменяется в более летальный штамм, или уже существующий возбудитель контактирует с новым, экзотическим хозяином. В первом случае примером может быть вирус птичьего гриппа, у которого развились штаммы, способные заражать людей. Примером второго случая был завоз оспы и кори в Новый Свет и массовое уничтожение ими популяций американских индейцев*. Возможно, самые опасные ситуации – это те, в которых объединяются оба этих случая, то есть, вновь занесённый и активно мутирующий патогенный организм.Так когда и как возникают возбудители болезней? Учёные полагают, что предшественники жизни зародились в первобытном океанском иле в виде простых органических молекул, которые полимеризовались в сложные аминокислоты – строительные кирпичики жизни. Они объединялись в абиотические протоклетки, а когда в этом бурлящем котле созидания образовались нуклеиновые кислоты, сформировались настоящие клетки. Эти самые первые дожизненные формы были, вероятно, похожи на двух необычных патогенов. Самые простые из них – прионы, которые состоят всего лишь из единственного белка. Вироиды немного сложнее, они сложены из короткой цепочки голой РНК. Их элементарная структура указывает на то, что они были древнейшими возбудителями заболеваний263,264.