Со слиянием геномов связаны похожие трудности. Здесь проблема состоит в том, что дарвиновское дерево переворачивается вверх ногами: вместо эволюционного расхождения мы получаем схождение. Тогда возникает вопрос, кто из двух (или большего числа) участников такого схождения отражает истинный ход эволюции? Если проследить наследование одного лишь гена рибосомальной РНК, мы получим обычное ветвящееся дарвиновское древо, но если рассмотреть большое число генов или целые геномы, мы получим что-то вроде кольца, в котором разошедшиеся ветви вновь сходятся и сливаются.
Нет никаких сомнений, что клетки эукариот представляют собой генетические химеры. Данные, свидетельствующие об этом, никто не ставит под сомнение. Вопрос, по поводу которого исследователи теперь разделяются на враждующие фракции, в том, насколько большое значение нужно придавать эволюции по Дарвину, и насколько большое — интенсивным процессам генетического слияния. Иначе говоря, сколько свойств эукариотических клеток возникло путем постепенной эволюции клетки-хозяина, а сколько могло развиться только лишь после генетического слияния. За несколько десятилетий о происхождении эукариотической клетки были выдвинуты десятки теорий, от умозрительных, если не сказать надуманных, до основанных на детальных биохимических реконструкциях. Ни одна из них пока не получила однозначного подтверждения. Все эти теории можно разделить на две большие группы: придающие особое значение постепенному дарвиновскому расхождению и резкому генетическому слиянию. Эти группы соответствуют двум противоборствующим сторонам другого, более давнего спора между биологами: теми, кто доказывает, что эволюция идет путем постепенных непрерывных изменений, и теми, кто настаивает на существовании продолжительных периодов застоя, или равновесия, прерывающихся иногда внезапными впечатляющими изменениями. То есть, как шутили в свое время, споров о том, ползком или прыжками идет эволюция[32].

Рис. 4.4. «Кольцо жизни». Последний общий предок всего живого располагается внизу, где его потомки разделяются на бактерий (слева) и архей (справа). Представители тех и других вновь сливаются вверху, давая начало химерным организмам — эукариотам.
Применительно к эукариотической клетке Кристиан де Дюв назвал представления первой группы гипотезой «примитивного фагоцита», а второй — гипотезой «судьбоносной встречи». Идея «примитивного фагоцита» соответствует дарвиновской концепции, и среди ее сторонников выделяются оксфордский эволюционист Том Кавалир-Смит и сам Кристиан де Дюв. В основе этой гипотезы лежит предположение, что предки эукариотических клеток постепенно накопили все признаки, свойственные клеткам современных эукариот: ядро, настоящий половой процесс, клеточный скелет и, что самое важное, способность к фагоцитозу, то есть поглощению других клеток путем изменения формы, окружения их, заглатывания и последующего внутреннего переваривания. Единственной чертой, которой, в отличие от клеток современных эукариот, их предполагаемый непосредственный предок, примитивный фагоцит, не обладал, было наличие митохондрий, которые вырабатывают энергию, используя для этого кислород. Вероятно, ему приходилось получать энергию посредством брожения — гораздо менее эффективного процесса.
Но для фагоцита проглотить предков нынешних митохондрий было тривиальной задачей. Что могло быть проще? Более того, если не путем фагоцитоза, то как могла одна клетка оказаться внутри другой? Обладание митохондриями, разумеется, предоставило примитивному фагоциту важное преимущество (они должны были произвести революцию в его способе получения энергии), но не привело ни к каким принципиальным изменениям его устройства. После того как фагоцит обзавелся митохондриями, он по-прежнему остался фагоцитом, хотя теперь у него появилась возможность получать больше энергии. Однако многие гены из порабощенных митохондрий могли постепенно перейти в ядро и встроиться в геном клетки-хозяина и именно этой передачей объясняется, согласно данной гипотезе, химерная природа современных эукариотических клеток. Их бактериальное наследие составляют гены, взятые у митохондрий. Таким образом, сторонники гипотезы примитивного фагоцита не оспаривают химерную природу современных эукариот, но предполагают, что предковой для нынешних эукариот клеткой-хозяином, то есть первой настоящей, хотя и примитивной эукариотической клеткой, был нехимерный фагоцит.
Том Кавалир-Смит еще в начале 80-х годов обратил внимание на группу из тысячи с лишним видов одноклеточных эукариот примитивного облика, у которых отсутствуют митохондрии. Он предположил, что какие-то из них могли дожить до наших дней с тех времен, когда возникли первые эукариотические клетки, и могут быть прямыми потомками того примитивного фагоцита, у которого еще не было митохондрий. Если так то они не должны обнаруживать никаких признаков генетической химерности, поскольку их происхождение было обусловлено чисто дарвиновскими процессами. Но в следующие два десятилетия выяснилось, что все эти организмы — химеры. Получалось, что у предков их всех когда-то были митохондрии, впоследствии утраченные или преобразившиеся во что-то другое. Все без исключения современные эукариотические клетки имеют митохондрии или происходят от предков, у которых имелись митохондрии. Если когда-то и существовал примитивный фагоцит, у которого митохондрий не было, он не оставил прямых потомков. Это не означает, что его никогда не существовало, а просто говорит о том, что его существование остается гипотезой.
Вторая группа теорий происхождения эукариотической клетки равняется на знамя «судьбоносной встречи». Все эти теории предполагают, что в свое время между двумя или несколькими прокариотическими клетками возникла связь того или иного рода, которая привела к формированию сплоченного объединения клеток — химерного организма. Если клетка-хозяин была не фагоцитом, а археей, обладавшей клеточной стенкой, то главный вопрос в том, как другим клеткам вообще удалось проникнуть внутрь? Ведущие сторонники этой идеи, особенно Линн Маргулис и Билл Мартин (с которым мы познакомились в главе 1), указывают на целый ряд возможностей, которые могли к этому привести. Например, Линн Маргулис предположила, что бактерия-хищник могла силой прорываться во внутренности других бактерий (и тому известен ряд примеров). Билл Мартин, напротив, отстаивает идею, что в основе лежала подробно проанализированная им взаимовыгодная метаболическая связь между клетками, каждая из которых обменивалась с другой определенным сырьем[33]. Если так, то сложно понять, как одна прокариотическая клетка проникла внутрь другой без помощи фагоцитоза, но Мартин приводит два примера, где у бактерий произошло именно это.
Теории «судьбоносной встречи» можно назвать недарвиновскими в том смысле, что они предполагают не эволюцию путем маленьких изменений, а внезапное возникновение совершенно нового организма. Принципиально здесь также представление о том, что все эукариотические признаки развились в ходе эволюции лишь после «судьбоносной встречи» и последовавшего объединения. Сами объединившиеся клетки были чисто прокариотическими: неспособными к фагоцитозу, лишенными настоящего полового процесса, подвижного клеточного скелета, ядра и прочих атрибутов эукариот. Все эти признаки развились лишь после закрепления возникшего союза. Эти версии подразумевают, что в самом таком союзе было нечто, что преобразовало архиконсервативных, вечно неизменных прокариот в свою прямую противоположность: одержимых быстрой ездой, постоянно меняющихся эукариот.

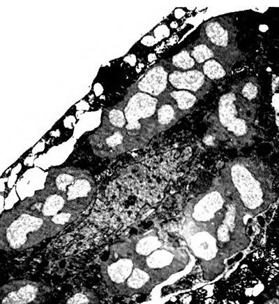
Рис. 4.5. Бактериальные клетки, живущие внутри других бактериальных клеток. Многочисленные гамма-протеобактерии (пестрые, светло-серые) живут внутри бета-протеобактерий (однотонного темно-серого цвета), которые, в свою очередь, живут внутри эукариотической клетки, пятнистое ядро которой располагается в центре нижней части фотографии.